
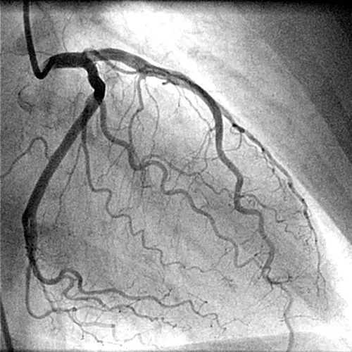
Коронарография
Наиболее точный рентгеноконтрастный метод исследования, позволяющий достоверно произвести диагностику ишемической болезни сердца (ИБС) и решить вопрос о выборе и объеме проведения в дальнейшем таких лечебных процедур, как баллонная ангиопластика, стентирование, аортокоронарное шунтирование (АКШ).
ПОКАЗАНИЯ ДЛЯ ПРОВЕДЕНИЯ КОРОНАРОГРАФИИ
- прогрессирующая стенокардия
- острый коронарный синдром
- появление длительных и периодических болей в области грудной клетки, которые отдают в лопатку, нижнюю челюсть, левую руку и плечо
- предстоящее кардиохирургическое вмешательство
ПРОВЕДЕНИЕ КОРОНАРОГРАФИИ В РКМЦ
Исследование проводится под местной анестезией, пациент находится в сознании. Катетр вводится через прокол в бедренной артерии и под рентгенологическим контролем продвигается к коронарным артериям. Через катетер вводится контрастное вещество, которое, заполняя сосуды, позволяет визуализировать просвет артерий.
В процессе исследования выполняется серия снимков в разных проекциях и по ним оценивается проходимость артерий.
ПРОТИВОПОКАЗАНИЯ
- повышенная температура
- симптомы интоксикации
- острое течение хронических заболеваний
- непереносимость контрастного вещества
ПОДГОТОВКА К КОРОНАРОГРАФИИ
- За 10 дней до процедуры проводятся анализы крови, коагулограмма, ЭКГ в 12 отведениях, рентгенография грудной клетки и Эхо-КГ. При необходимости назначаются дополнительные исследования.
- За сутки до исследования сбрить волосы с предполагаемой зоны для введения катетера.
- За 12 часов до исследования прекратить принимать пищу.
КАК ПРОЙТИ КОРОНАРОГРАФИЮ В РКМЦ
- Позвонить в Контакт-центр для записи на консультацию к заведующему отделения рентгенэндоваскулярной хирургии Постоялко А.С.
- Прийти на консультацию в назначенное время.
- В день проведения процедуры в регистратуре заключить договор на оказание платных услуг
- Оплатить счет в кассе РКМЦ или через ЕРИП
Стоимость услуг
Информация, представленная в данном Прейскуранте, носит ознакомительный характер. Некоторые услуги предоставляются только в комплексе с другими услугами или требуют дополнительных затрат, связанных с расходными материалами, медикаментами и т.д. Поэтому итоговая цена может отличаться от представленных на данном сайте при обращении в медцентр для заключения договора на оказание медицинских услуг.
Обратите внимание: В счет оплаты также принимаются Подарочные сертификаты. Коронарография
Вверх
Услуга
цена для граждан:
беларуси
снг
остальных стран
Коронарография (КГР) - при стандартном доступе - С ИСПОЛЬЗОВАНИЕМ ИНЖЕКТОРА - без учета ИЗДЕЛИЙ МЕД, НАЗНАЧЕНИЯ, указываемых дополнительно
2180 р. 18 к.
2922 р. 81 к.
2922 р. 81 к.
Коронарография (КГР) - при стандартном доступе - БЕЗ ИСПОЛЬЗОВАНИЯ ИНЖЕКТОРА - без учета ИЗДЕЛИЙ МЕД, НАЗНАЧЕНИЯ, указываемых дополнительно
1135 р. 16 к.
1876 р. 80 к.
1876 р. 80 к.
Коронарография (КГР) - при радиальном доступе - С ИСПОЛЬЗОВАНИЕМ ИНЖЕКТОРА - без учета ИЗДЕЛИЙ МЕД, НАЗНАЧЕНИЯ, указываемых дополнительно
2237 р. 25 к.
2979 р. 88 к.
2979 р. 88 к.
Коронарография (КГР) - при радиальном доступе - БЕЗ ИСПОЛЬЗОВАНИЯ ИНЖЕКТОРА - без учета ИЗДЕЛИЙ МЕД, НАЗНАЧЕНИЯ, указываемых дополнительно
1191 р. 95 к.
1933 р. 59 к.
1933 р. 59 к.



