
Современная морфологическая диагностика невозможна без применения иммуногистохимии – метода исследования тканей с целью выявления белков с помощью специфической реакции антиген-антитело. Иммунногистохимические методы позволяют установить наличие или отсутствие определенных белков в ткани, что имеет большое значение в постановке диагноза, особенно онкологического.
ПОКАЗАНИЯ ДЛЯ ПРОВЕДЕНИЯ ИССЛЕДОВАНИЯ
Метод позволяет диагностировать опухоли, устанавливать их нозологический вариант, выявлять по метастазам первичный опухолевый очаг, обнаруживать злокачественную трансформацию клеток, делать прогноз относительно течения опухолевого заболевания и возможностей целенаправленной терапии опухоли, а также выявлять наличие устойчивости клеток опухоли к лучевой терапии и химическим препаратам.
Неоценима роль иммунногистохимического исследования при оценке статуса рака молочной железы: рецепторы половых гормонов, пролиферативная активность, Her2-статус.
В нашем центре успешно применяются иммунногистохимические методы при оценке эндометрия (слизистой матки) у женщин с бесплодием. Это позволяет объективно судить о наличии воспаления и состоянии рецепторов половых гормонов, что помогает гинекологу планировать лечение пациенток.
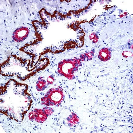
Для установления диагноза рака предстательной железы также часто используют иммунногистохимические методы. Отсутствие маркеров базальных клеток (высокомолекулярный цитокератин, р63) в подозрительных железах указывает на аденокарциному простаты.
ИММУННОГИСТОХИМИЧЕСКИЕ ИССЛЕДОВАНИЯ В РКМЦ
Иммунногистохимические исследования в нашем отделении полностью автоматизированы, что позволяет проводить диагностику по стандартизованным методикам и исключает возможность ошибок персонала.
ПОДГОТОВКА К ИССЛЕДОВАНИЮ
Не требуется, если забор материала для исследования производится в Центре лечащим врачом.
Если материал был взят в другом медицинском учреждении, пациенту необходимо предоставить:
- парафиновые блоки
- по возможности полную сопроводительную документацию (копию направления/заключения, эпикриз и др.) – для правильной интерпретации изменений на тканевом уровне патологоанатом должен знать данные клинических и лабораторных исследований.
КАК ПОЛУЧИТЬ КОНСУЛЬТАЦИЮ В РКМЦ
- Если возникли вопросы по консультации - позвонить в Контакт-центр
- В будние дни с 8.00 до 15.00 привезти препараты в РКМЦ (Патологоанатомическое отделение)
- При себе иметь паспорт
Результаты исследования предоставляются в течение нескольких дней.



